Before & Afters
Before & Afters
Real smiles, real results
Discover confident transformations through orthodontic care
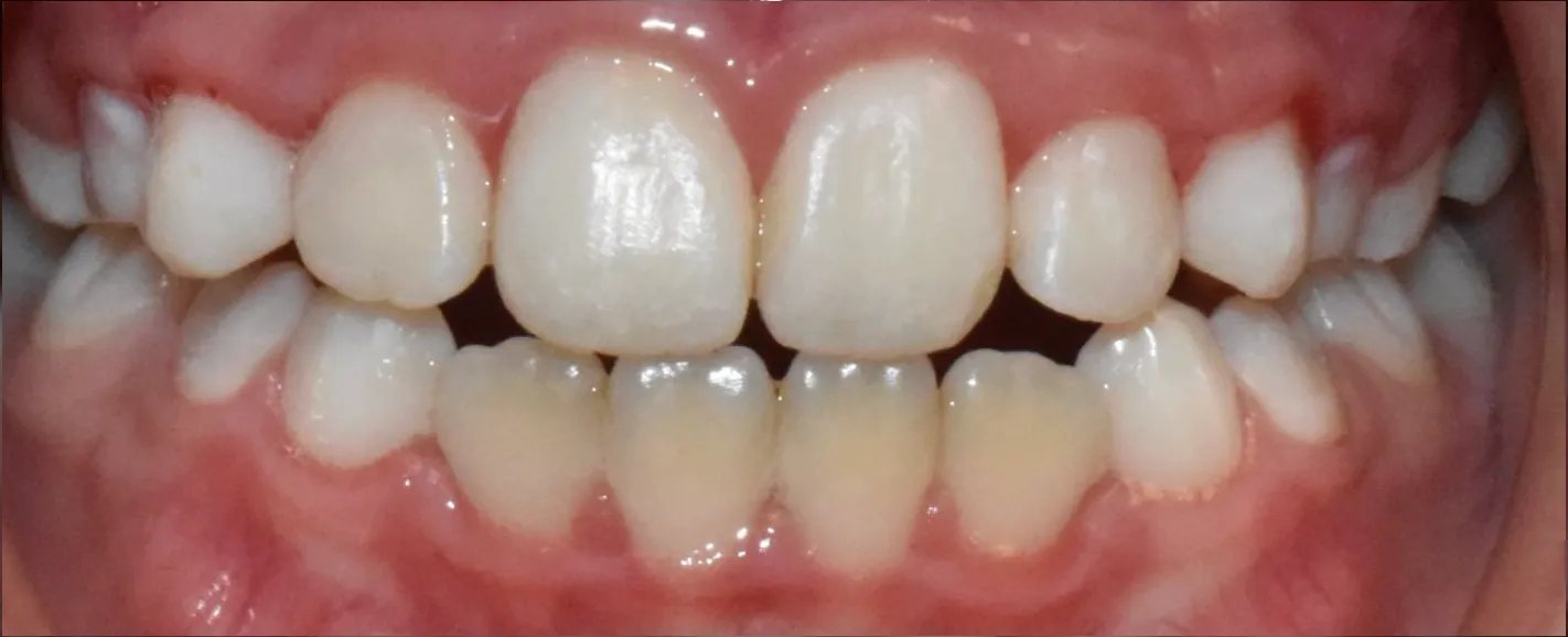
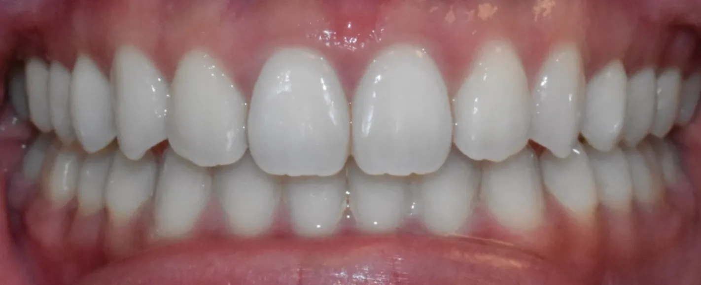
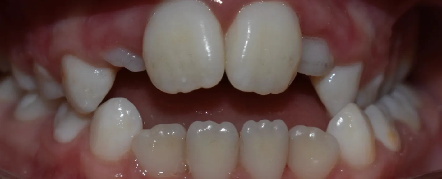
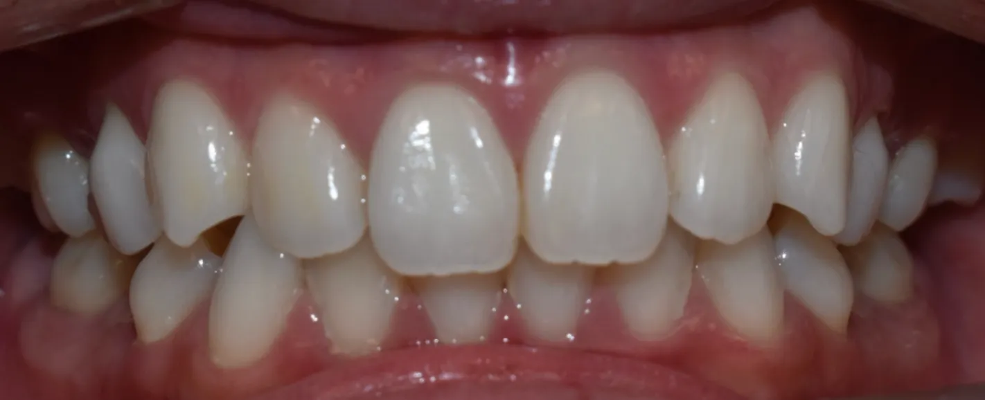
Every smile tells a story—and we love being part of that journey. From early interceptive care to full orthodontic transformations, these before and after photos showcase the personalized, confidence-building results that our patients (and their parents) love. Whether your child is just beginning their orthodontic journey or you're an adult thinking about Invisalign, we’re here to create a plan that fits your goals, schedule, and lifestyle.

.webp)
.webp)
.webp)

.webp)
.webp)
.webp)


